
- この記事の監修者
- 医療法人社団「朋優会」理事長。歯科医師・インプラント専門医。国際インプラント学士会(I.C.O.I.)メンバー。米国インプラント学会(A.O.)アクティブメンバー。欧州インプラント学会(E.A.O.)メンバー。O.S.I.アドバンスドトレーニングコース 講師。
https://e-implant-tokyo.com/smile-implant/

最近、口の中でこんな症状がありませんか?
・歯茎が赤く腫れている
・歯磨きをすると歯茎から血がでる
・口臭が気になる
上記のような症状がでている場合には、歯周病になっている可能性が高いです。
歯周病は進行すると歯が抜けてしまうので、早めの治療が大切になります。
とはいえ、治療法を知らないまま歯科医院に行くのは、怖くて不安です。
そこで今回は、歯周病の治療法の種類について紹介していきます。
「歯周病かもしれないけど、どんな治療をするのかわからないから歯医者さんに行くのが不安・・・・・」・と悩んでいる方は是非、この記事を参考にして下さい。
目次
- 1歯周病の「3つの段階」
- 1-1:軽度歯周炎
- 1-2:中度歯周炎
- 1-3:重度歯周炎
- 2歯周病の治療方法
- 3治療の基本「歯周基本治療」
- 3-1:ブラッシング指導
- 3-2:SRP
- 4歯周外科治療「フラップ手術」
- 5組織を回復させる「歯周組織再生治療」
- 5-1:エムドゲイン療法
- 5-2:GTR法
- 6薬と治療を組み合わせた「薬物治療」
- 6-1:アジスロマイシン
- 7歯周病治療はお互いの協力が必要
1歯周病の「3つの段階」

まず、歯周病になる前の段階として、歯肉炎という症状が始めに出ます。
歯肉炎は、一部の歯茎が赤く腫れていて、歯磨きすると出血する状態です。
この状態は、歯を支えている骨に影響はなく、歯茎だけに炎症が起きているのが特徴です。
歯肉炎から、さらに症状が深刻化した状態を歯周病と呼びます。
歯周病は、大きくわけて3つの段階があります。
歯周病の進行段階に合わせて、適した治療を行っていきます。
次から、歯周病の3つの段階について解説していきます。
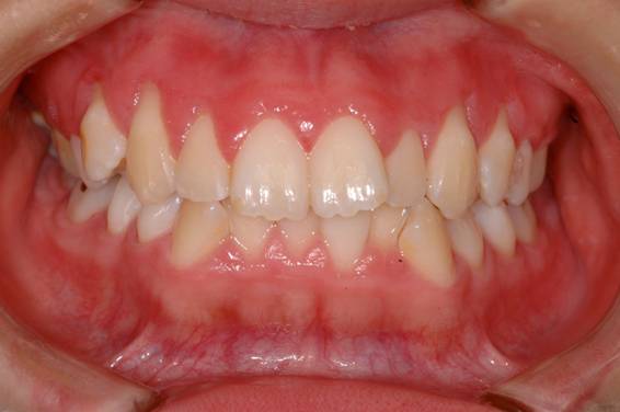
1-1:軽度歯周炎

軽度歯周炎は、歯周病の初期の段階です。
軽度歯周炎の特徴は次の通りです。
・歯茎が部分的にブヨブヨしている
・歯周ポケットが確立し始めている
歯周病菌は、酸素が届かない環境を好みます。
口の中で酸素が届かない場所が、歯茎の中です。
歯周病菌は、歯と歯茎の間にある、わずかな溝を攻撃しながら、歯茎の中へと侵入していきます。
歯周病菌の出す酸で歯茎が炎症を起こして、歯とくっついていた部分が剥がれていきます。
こうして剥がれてできた溝のことを、歯周ポケットと言います。
歯周ポケットには、歯垢や歯石が溜まりやすく、歯周病菌が増殖していきます。
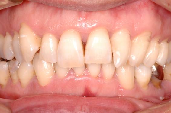
1-2:中度歯周炎

中度歯周炎は軽度歯周炎より、さらに症状が拡大している状態です。
この時には、歯周病菌が歯周ポケットを深くしているのと同時に、歯を支えている顎の骨を半分ほど溶かしています。
顎の骨が半分ほど破壊されているので、歯がグラグラと揺れて、食べ物が噛みにくいと感じるようになります。
さらには、見た目にも変化が現われ始めます。
歯茎が全体的に赤く腫れて、歯垢や歯石といった黄色い汚れが目立つようになります。
また、炎症で歯茎が下がって、歯が長く見えるようになります。
1-3:重度歯周炎

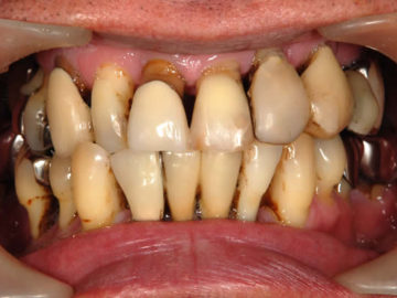
重度歯周炎は、歯周病がかなり深刻化している状態です。
歯周ポケットは、根の先まで深くなっていて、顎の骨もほとんど溶けています。
歯は骨の支えをなくして、歯茎だけで付いているので最悪の場合には、自然に抜け落ちてしまう可能性が高いです。
また、支えの骨がほとんどなく歯が安定していないので、食べ物を噛んだ時に歯がズレてしまい、しっかりと噛むことができません。
他にも重度歯周炎になると、見た目がさらに悪化します。
歯茎全体が、紫色で出血や膿が出ている箇所も目立ってきます。
歯の表面や歯と歯茎の境目には、大量の歯垢や歯石がビッチリと覆っている状態で、時間が経過した歯石は黒く変色しています。
見た目以外にも、口臭が酷くなりがちです。
増殖した歯周病菌が、ガスを発生させます。
歯周病菌が発生したガスが口の中を充満して、口臭が強くなります。
2歯周病の治療方法

歯周病の進行状況や全身の健康状態によって、治療法が変わってきます。
次からは、歯周病の治療法について詳しく解説していきます。
3治療の基本「歯周基本治療」

歯周病の治療は、歯周病の段階に関係なく、歯周基本治療を元に治療を進めて行くのが一般的です。
歯周基本治療の内容は次の通りです。
3-1:ブラッシング指導

歯磨きは、歯周病治療の基本です。
歯科医院で、歯垢や歯石を取り除いても、毎日の歯磨きがしっかりできていないと状態は改善しません。
そのため、歯周病治療を始めるときには、必ず歯磨き指導を行います。
歯科医師や歯科衛生士が、口の状態に適した歯磨きの仕方や清掃道具についてアドバイスします。
歯の表面や歯と歯茎の間に溜まった汚れを、しっかりと自分で取れるようになることが歯周病の改善や再発防止に繋がります。
3-2 : SRP

SRPとは、スケーリング・ルート・プレーニングの略で、歯の根っこに付いている歯垢や歯石を取り除く治療のことです。
深くなった歯周ポケットに付いている歯垢や歯石は、歯ブラシでは届かないので、取り除くことができません。
そこで、スケーラーという専用の器具を使って、根の表面にこびり付いている汚れを除去していきます。
ここまでの歯周基本治療を行った上で、歯周病の状態が改善しない場合には、歯周外科治療や、歯周再生治療などの治療法を取り入れていきます。
4歯周外科治療「フラップ手術」

フラップ手術は歯茎を開いて、実際に根の状態を見ながら歯垢や歯石を除去していく治療法のことです。
歯周基本治療で行うSRPでは、歯の根が直接見えない状態で、歯垢や歯石を除去していきます。
歯の根は複雑な形になっていたり、人によって形に多少の違いがあったりします。
特に奥歯になるほど、SRPの難易度が高くなります。
また、歯周ポケットが深すぎたり、歯の根が曲がったりと条件が悪いと汚れが除去できずに残ってしまいがちです。
根の先まで歯垢や歯石が残っていると、歯と歯茎がくっつかないので、歯周ポケットが浅くなることがありません。
そのため、歯周基本治療を行っても歯周ポケットが深い場合には、フラップ手術を行うことがあります。
フラップ手術の流れは次の通りです。
・治療する部分に麻酔をする
・歯茎を切って、丁寧に剥がしていく
・根が見える状態にして、こびりついている歯垢や歯石を専用の器具で取り除く
・根の表面をキレイにした後、歯茎を元の位置に戻して縫合する
・1週間を目安に抜糸を行う
・糸を取ってから3~4ヶ月後に、歯茎の検査を行う
フラップ手術は外科手術が必要になるので、全身疾患がある方で症状がコントールできていない場合には、この治療法ができないケースもあります。
5組織を回復させる「歯周組織再生治療」

歯周組織再生治療とは、歯根膜(歯の根の周りにある膜のこと)や顎の骨など、歯の周りにある組織を再生させる治療法のことです。
歯周基本治療やフラップ手術では、歯周病菌が潜んでいる歯垢や歯石を取り除くことで、歯周病を改善し歯茎を回復することができます。
しかし、歯周病菌によって溶かされた骨は、完全に回復することができません。
十分な骨がないと歯は安定しないので、場合によっては抜歯になるケースもあります。
そこで、歯をしっかりと固定させるために新しい組織を作り出す手術、歯周組織再生治療を行っていきます。
歯周組織再生治療には次の2つの方法があります。
5-1:エムドゲイン療法

エムドゲイン療法で使用されるエムドゲイン・ゲルは、豚の歯胚組織(歯や組織を作り出す元)から作られたタンパク質の一種です。
エムドゲイン・ゲルは安全性が高く、世界中で使用されている歯科再生材料になります。
エムドゲイン療法の流れは、次の通りです。
・治療する部分に麻酔をする
・歯茎を切って、開いていく
・根の表面をキレイにして、エムドゲイン・ゲルを塗布する
・歯茎を元の位置に戻して縫合する
・術後、1~2週間後に糸を取る
歯周病が進行して歯茎が下がると、歯が長くなったり歯茎の厚みが薄くなったりと、見た目が悪くなります。
エムドゲインを・ゲルは歯茎や骨などを再生するので、見た目も改善していきます。
5-2:GTR法

GTR法はメンブレンという特殊な膜を使って、破壊された歯根膜や顎の骨を再生していく治療法のことです。
歯周基本治療やフラップ手術後の歯の根は、歯垢や歯石がなく平らでキレイな状態です。
しかし顎の骨が溶けている部分では、歯と骨の間に隙間ができてしまいます。
隙間ができても、体の治癒力で骨や歯茎は少しずつ回復していきます。
ところが、骨と歯茎では回復するスピードが違います。
骨が回復するスピードより歯茎が回復するスピードの方が上回ってしまうと、歯茎で埋まってしまい、骨が再生するスペースがなくなってしまうのです。
そうなると、歯茎だけが回復しても歯はグラグラと安定しないままです。
そこで、回復させる前に人工の膜(メンブレン)で壁をつくって、歯と失われた骨の間にスペースを確保します。
この処置をすることで、膜で覆われた部分には歯茎が入り込めないので、骨が徐々に回復して、歯が安定するようになります。
GTR法の治療の流れは、次の通りです。
・治療する部分に麻酔をする
・歯茎を切って、丁寧に開いていく
・歯の根の表面に付いている汚れを除去して、平らにする
・骨が失われた部分をメンブレンで覆う
・歯茎を戻して縫合する
・手術後、約1~2週間を目安に抜糸をする
GTR法は、失った骨の部分を特殊な膜で覆って、歯茎で縫合する処置が必要になるので、エムドゲイン療法より難易度が高くなります。
そのため、GTR法を行っていない歯科医院もあります。
6薬と治療を組み合わせた「薬物治療」

現在の医療では、薬だけで歯周病を治すことはできません。
ただ、歯周病菌の働きを抑える薬と、歯周基本治療を組み合わせることによって歯周病の改善を促すことができます。
その方法が、薬物治療になります。
6-1:アジスロマイシン

代表的な抗菌薬として、アジスロマイシンという薬を歯周病治療で使うのが一般的です。
1日2錠の服用を3日間続けることで、歯周病菌の働きを抑制する効果が1週間ほど持続します。
アジスロマイシンの効果がでている間に、歯周基本治療やフラップ手術を行うことで、効率的に歯茎の改善が期待できます。
7歯周病治療はお互いの協力が必要

歯周病になる原因は、歯垢の中に多く潜んでいる歯周病菌です。
歯周病菌が増えない、活発に活動できない清潔な口の中の環境であれば、歯周病が再発することは、ほとんどありません。
歯周病を治すためには、歯科医院で行う治療だけでは不十分で、歯磨きで歯垢をしっかりと落とすことが大切です。
自宅での歯磨きと歯科医院での治療を行いながら、担当医と一緒に歯周病を治していきましょう。









